BIOGRAPH OneShape the new era
Theranostics and other novel drug therapies make truly targeted treatments possible for the very first time. To realize this potential, an imaging system is needed that shortens patients’ pathways to a precise diagnosis and timely treatment.
Introducing BIOGRAPH One* – the game-changing PET/MR scanner designed to shape a new era for one simplified patient-centric pathway.

Benefits
BIOGRAPH One is designed to support one patient-centric pathway to personalized care. By seamlessly integrating PET and MR into one comprehensive exam, it will support clinicians from diagnosis and staging, through a personalized therapy decision to regular therapy assessments to excel precision and support one streamlined approach.
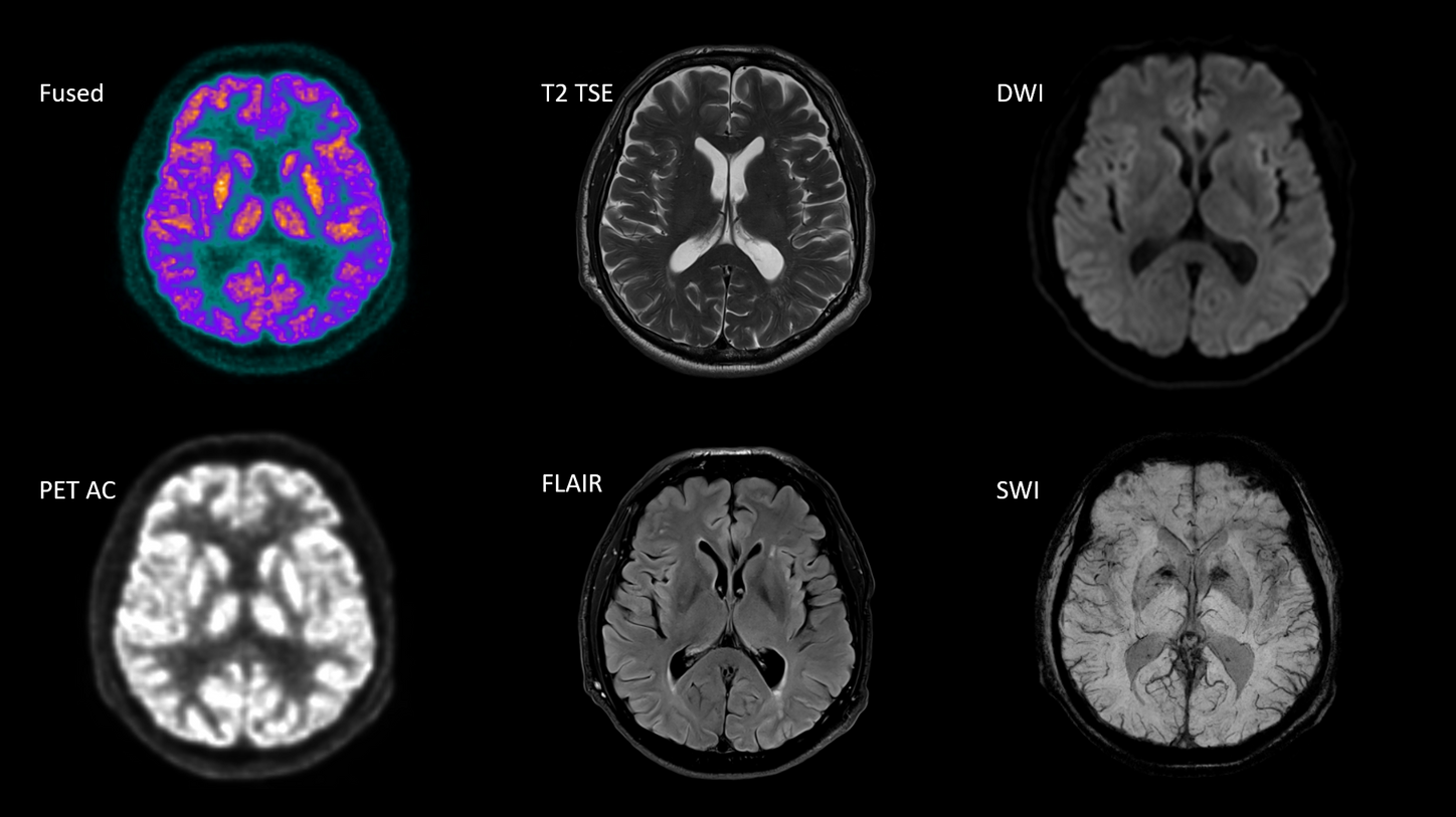
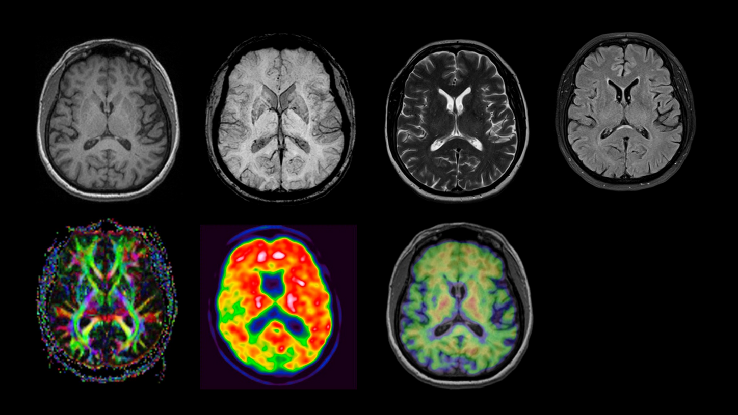
BIOGRAPH One is designed to excel in PET/MR precision to support confident diagnostic decisions. Featuring the Optiso UDR Pro detector with the largest 35 cm axial FOV2 in PET/MR, it is designed to enable comprehensive capture with excellent sensitivity and ultra-fast TOF3 in real time – delivering clear, detailed images.
Planned with Deep Resolve for accelerated acquisition and improved resolution in 2D and 3D applications4, BIOGRAPH One has the potential to make PET/MR exams faster than ever before. Designed with a powerful 3T magnet at its heart, BIOGRAPH One will deliver unparalleled performance with outstanding homogeneity, a large 55 x 55 x 50 cm³ field of view and robust gradient power.
BIOGRAPH One is designed to make PET/MR patient positioning easier and more efficient so operators can spend more time on patient care. New BioMatrix Contour Coils will enable operators to reduce setup times and minimize exposure to radiation. Starting the exam directly at the scanner will further streamline the workflow.
BIOGRAPH One will simplify the entire PET/MR scanning workflow with myExam Companion: an intuitive interface designed to assist operators with advanced automation features for PET and MR familiar planning. myExam Companion will empower operators of all experience levels with simplicity and consistency, while new acquisition modes will provide a tailored scanning mode for each patient and condition.
BIOGRAPH One is designed to reduce patient slot times by more than 50 % to under 30 minutes5 for standard whole-body exams, including dedicated brain protocols. With up to 5x faster positioning5 and 2x faster acquisition5 – BIOGRAPH One has the potential to establish PET/MR as a standard clinical modality, aligning patient slot times with typical clinical workflows.
Evidence
Planned BIOGRAPH One equipped with

Community

MAGNETOM World
The Siemens Healthineers global MRI community offers peer-to-peer support and information: case reports, clinical methods, application tips, talks, and more, all freely available to you via this unique network.













