MAMMOMAT B.brilliantExclude the maybes
There shouldn't be anything inconclusive about breast cancer screening – and yet that's the reality for too many women. We think that it’s time to change that. Meet MAMMOMAT B.brilliant, a whole new mammography system that brings you the next generation of 3D mammography. Experience:
- PlatinumTomo, a completely new breed of tomosynthesis image acquisition technology
- 50° Wide-Angle Tomosynthesis scan time of just 5 seconds2,3
- Excellent in-plane resolution, best in-depth resolution1, and customizable image impression
- A completely new system design that's focused entirely on the patient and the radiographer


Benefits
A completely new breed of tomosynthesis image acquisition
- 50° Wide-Angle Tomosynthesis
- The highest depth resolution and mass detectability in mammography.2
- Unique flying focal spot technology
- Excellent in-plane resolution and acquisition speed
- Perform a 50° Wide-Angle Tomosynthesis scan time in just 5 seconds2,3
- Cutting-edge detector
- Faster read-out time for higher image acquisition speed
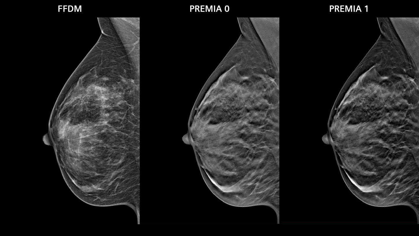
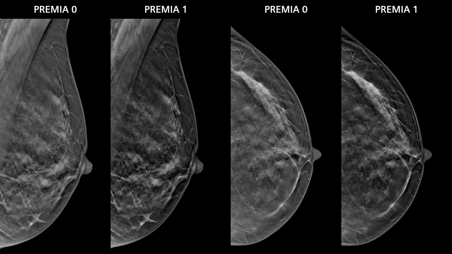
- PREMIA image reconstruction:
Improved image reconstruction framework- Reduce artifacts and enhance visibility of calcifications and lesions
- Comfortable transition from 2D and narrow-angle systems, thanks to customizable image impressions
- Boost synthetic mammogram sharpness, thanks to AI-powered noise reduction
More transparent processes during the examination
Patient and workflow information are always in sight on a screen at eye level – including next workflow steps, information on compression and system movement, breast thickness, and more.
- All patient information at hand
- Workflows displayed where you need them
- Receive information on the current and upcoming workflow steps
Independent movement, easy patient access
ComfortMove aims to significantly reduce physical strain on radiographers caused by mammography examinations. Thanks to independent movement of the tube unit from the table, you can easily access your patient during the MLO positioning process – without having to bend under the tube unit. An additional work light and positioning laser provide even more support for accurate positioning.
- Easier and optimized patient positioning
- More freedom of movement for radiographers and patients
- Radiographers may avoid physical strain
Create more stability and comfort for patients
The transparent face shield lets your patients rest their headcomfortably during scans. And thanks to our scan time of no more than 5 seconds, patients get scanned extremely quickly.2,3
- Enhance patient comfort during tomosynthesis
- Get optimal images thanks to stabilized patient positioning
- Increase workflow speed
Evidence

PlatinumTomo:
The technological heart of our MAMMOMAT B.brilliant
A combination of well-known state-of-the-art components with the latest hard- and software achievements allows us to offer you a new dimension of image acquisition and image quality in tomosynthesis.
Technical Details
Image impression
5 different options for contrast and image sharpness for FFDM and synthesized 2D.
2 options for contrast and image sharpness for tomosynthesis projections.Angular range and sweep
50° wide angle (+/- 25°); continuous high-speed tomosynthesis sweep
Tomosynthesis projections
25 low-dose projections
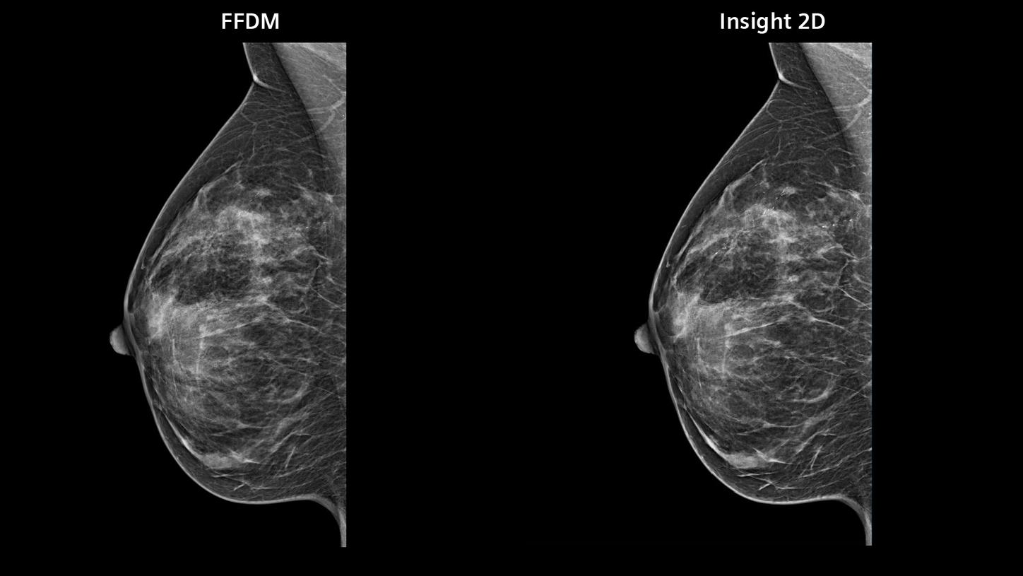
Synthetic imaging
Synthesized 2D mammographic imaging (Insight 2D) and unique, rotating synthesized
3D mammographic imaging (Insight 3D)Examination duration
4-view wide-angle DBT exams in just under 4 minutes
Tomosynthesis workflow/
scan timesScan time < 5 seconds2,3. Compression time ~11 seconds.
Reconstruction technology
Performance reconstruction with expedited methodology for iterative assessment.
AI-powered noise reduction and reduced metal and in-plane artifacts.Detector
Static (not rotating); no binning
Low dose technology
PRIME technology: software solution to replace anti-scatter grid for up to 20% dose savings in FFDM
Dose levels
OpDose – five different exposure parameters for optimized patient dose
Tomo-guided targeting
50° wide angle for highest depth resolution1
Target accuracy
+/- 1 mm
Specimen scanner
Integrated InSpect specimen scanner on same detector at no additional cost
Mounting
Mountable without having to remove the detector cover or any other parts
Needle holder movement
Motorized to X, Y, and Z directions
Needle localization
Possible in 2D and 3D: visual feedback on needle position thanks to needle navigator
Patient grip
Optimized grip for a secure hold while avoiding too much tension
Fixed face shield
Detachable and transparent face shield that allows the patient to rest her head comfortably
Ambient lighting
MoodLight luminated design function available for better patient experience
Compression paddles
Rounded edges and soft polymer to enhance patient experience
Compression
Personalized; automated compression to increase comfort
Compression speed
Unique SoftSpeed – paddle slows its movement as soon as it touches the breast
Patient breathing
Complete free-breathing acquisitions
ComfortMove
ComfortMove incl. positioning laser, provide the possibility to move tube-head out-of-the way for easier positioning in oblique projections
ComfortView
Digital display showing basic and advanced information on the current and next examination steps for screening and diagnostic applications
Automatic movement
Automatically move gantry from one projection position to another with single touch of a button
System start-up time
< 5 minutes
Swivel range
+180° to -180°, motorized isocentric rotation with preselectable rotation angle
Breast density measurements
Volumetric measurement is automatically calculated and visible at AWS after the first view
Adjustable table height
66 cm (26“) to 154.5 cm (60.8“)
Detector specifications
Amorphous Selenium (aSe); 24 cm × 30 cm (9.5“ × 12“)
Detector cooling
No wait time
Calibration
Once every 3 months
Get all the product details at one glance
Download our product brochure to get all information.



















