
When COVID-19 strikes, we learn from the traces
Leading AI scientist Bogdan Georgescu and his team have developed an algorithm that could greatly benefit clinicians in future by helping them to assess COVID-19 severity and progression.
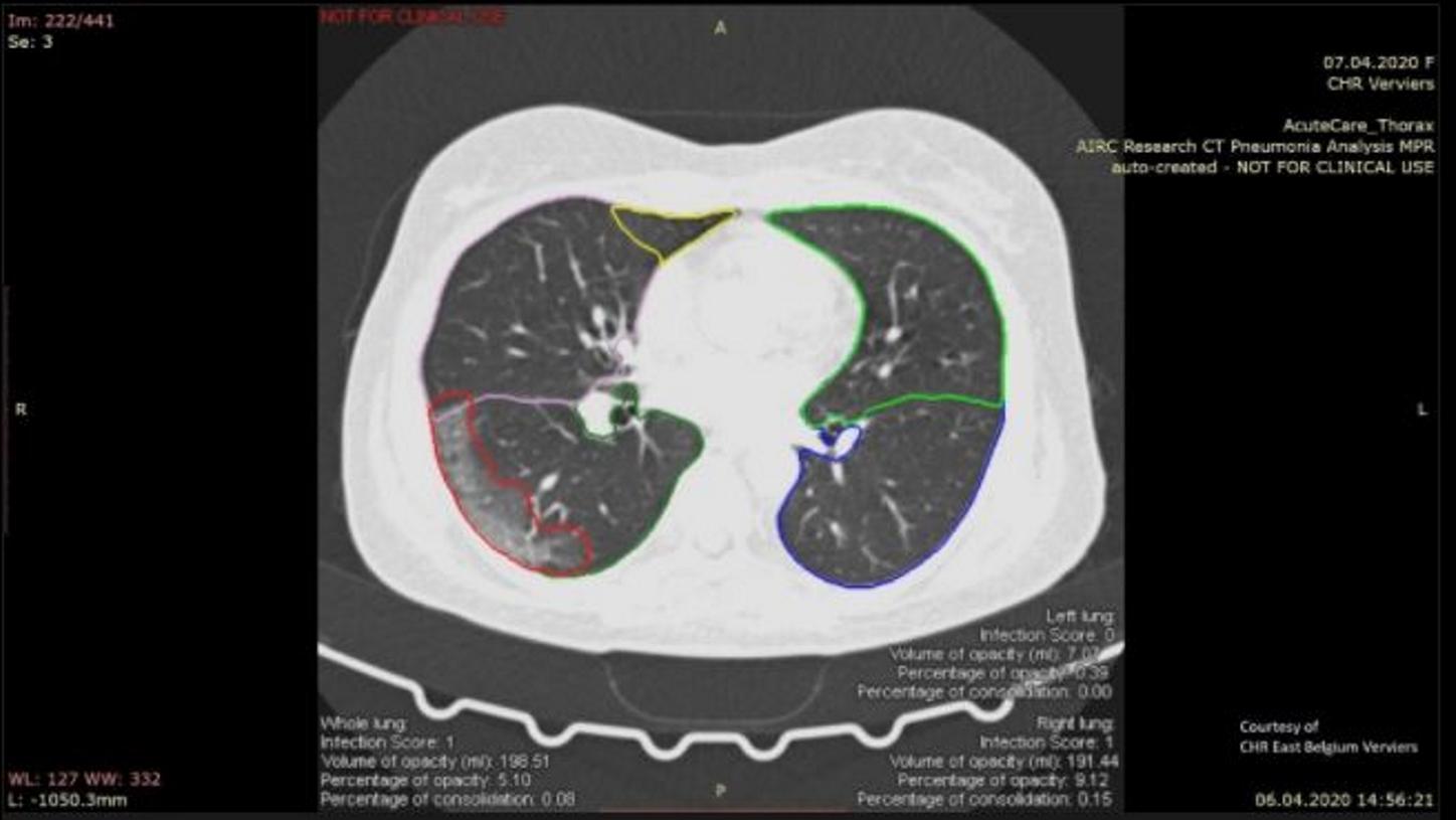
Hot on the trail of COVID-19: Working with collaborators from around the world, a team began developing an algorithm that helps to evaluate changes in lung tissue. Read about how scientists reached a significant milestone during the pandemic.



Solutions that are based on artificial intelligence can ease the workload of radiologists by providing experts with analyses for further assessment. For radiology, this means greater efficiency.
Bogdan Georgescu
Algorithms must be fed with good examples

It’s exciting to know that my work can help us to understand COVID-19 better and in future, potentially fight it more effectively.
Bogdan Georgescu
1 This product is under development and not commercially available. Its future availability cannot be ensured.
2 The AI-Rad Companion Chest CT Pulmonary Density feature falls under the FDA Enforcement Policy for Imaging Systems during the Coronavirus Disease 2019 (COVID-19) Public Health Emergency Section IV.C and is therefore not 510(k) cleared. It is not intended to be used to diagnose COVID-19. AI-Rad Companion Chest CT is not commercially available in all countries. Its future availability cannot be guaranteed.
3 Image created with Cinematic Rendering, Courtesy of CHR East Belgium Verviers
- The development of the prototype algorithm and its deployment was a Siemens Healthineers collaborative effort, bringing together frontline healthcare providers, scientists and engineers from Princeton, clinical experts and developers from India, product development teams from CT, Digital Health and Syngo from Germany. The Pulmonary Density feature is new in VA12A without FDA Clearance. According to FDA policy “Enforcement Policy for Imaging Systems During the Coronavirus Disease 2019 (COVID-19) Public Health Emergency issued in April 2020, the manufacturer is allowed to market this feature without FDA-clearance. This policy is intended to remain in effect only for the duration of the public health emergency related to COVID-19 declared by the HHS Secretary in accordance with section 319(a)(2) of the Public Health Services Act (42 U.S.C. 247d(a)(2)). Pulmonary Density results are not indicated for the diagnosis of COVID-19. Only in vitro diagnostic testing is currently the definitive method to diagnose COVID-19.















