Siemens Healthineers - Radidation Oncology

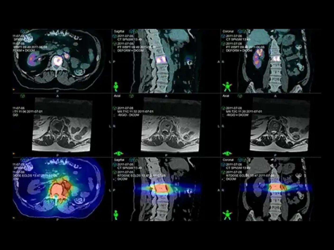
Imaging for Radiation Therapy

MAGNETOM Sola and SOMATOM go.Open Pro

By enabling radiation therapy specialists to look closer at the facts, our tailor-made imaging solutions help achieve prime outcomes for every single patient, and let experts see further than ever before into the future of individualized therapies. 

Computed Tomography for Radiation Therapy 

PET/CT for Radiation Therapy