SOMATOM On.siteBringing critical care imaging to your patient
Whether portable in the Intensive Care Unit, or mobile in the ambulance as a Mobile Stroke Unit, SOMATOM On.site is designed to bring critical care imaging to your patients. With the first-of-its-kind telescopic gantry design, integrated positioning accessories, and proven SOMATOM technologies, you can achieve fast and reliable CT head imaging.

Benefits
Streamline your critical care imaging workflow today.
SOMATOM On.site brings critical care imaging directly to your patient’s bedside. This means fewer patient transports, resulting in more staff remaining in the ICU. Being able to focus on their core tasks translates into a better nurse-to-patient-ratio.
The first-of-its-kind telescopic gantry allows for easier patient positioning, minimizes motion artifacts, and provides radiation safety for staff and neighboring patients.
myExam Companion ensures simple steps for cross-trained staff to get reliable CT scan results. In addition, SOMATOM On.site features workflow guidance and automatic results provided by our proven GO technologies.
SOMATOM On.site features a holistic radiation safety concept that consists of front and back radiation covers, lead-lined telescopic gantry, and the CARE 2D Camera to keep your patient in view even with the front radiation cover closed.
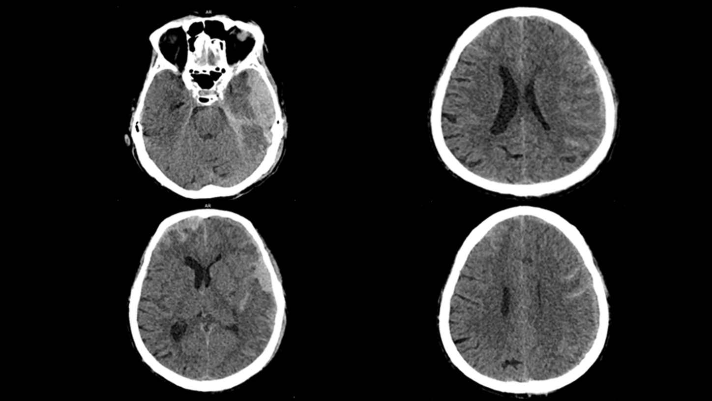
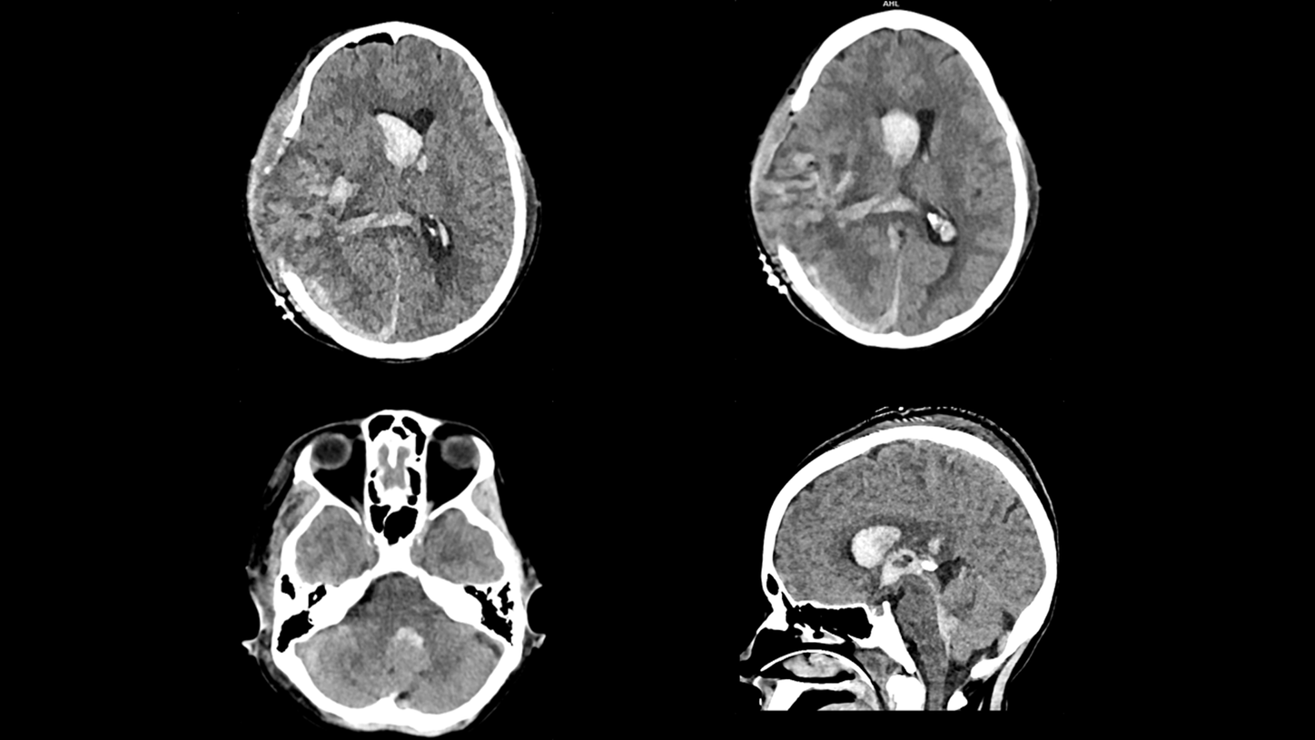
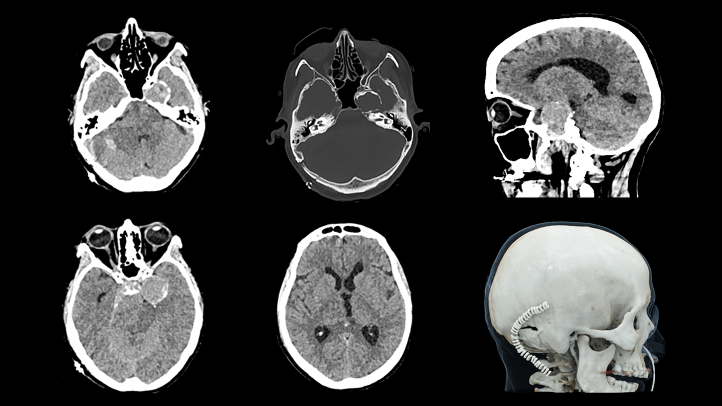
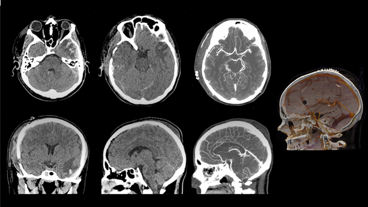
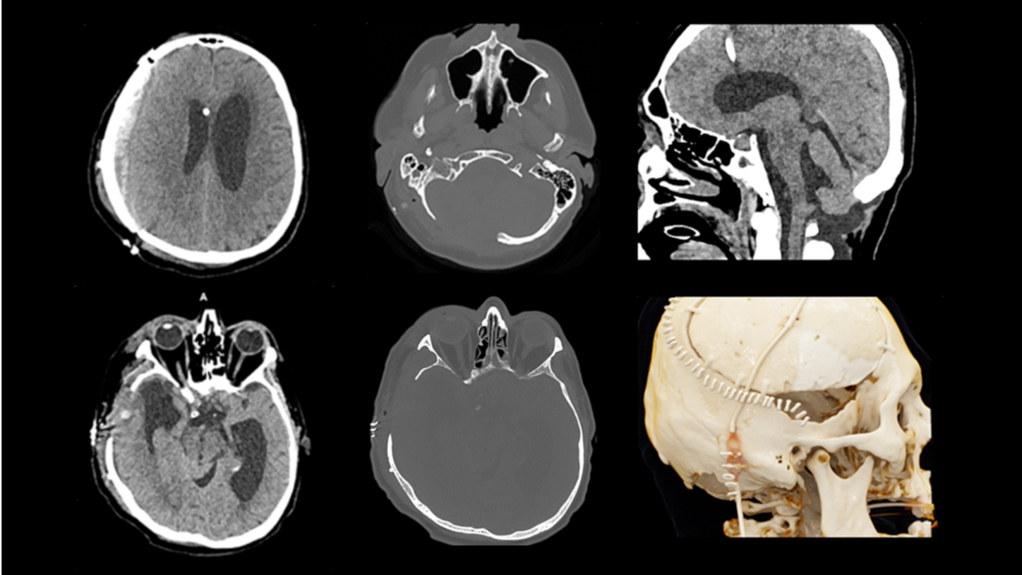
Proven SOMATOM technologies such as Stellar detector, iMAR, and ADMIRE® provide high image quality, enabling faster clinical decisions for critical care patients.
Evidence

Technical Details
Scanner type
Head CT scanner
Detectors
2.4 cm Stellar detector
Iterative Reconstruction
ADMIRE®
Metal artifact reduction
iMAR
kV steps
80, 120 kV
Detector row thickness
0.75 mm
Gantry opening
35 cm
Slice acquisition
32
Services
Get all the product details at one glance
Download our product brochure to get all information.










