
Prostatakrebs: Fakten, Diagnose und Behandlung
Fakten
Prostatakrebs ist nach wie vor eine herausfordernde und komplexe Erkrankung mit erheblichen Komplikationen und unvorhersehbaren Behandlungsergebnissen. Trotz der Fortschritte, die in den letzten Jahren erzielt wurden, bleibt er die fünfthäufigste Todesursache weltweit und die zweithäufigste Krebsdiagnose bei Männern [1].








Diagnose und Staging
Was passiert, wenn Ärzt*innen vermuten, dass ein Patient Prostatakrebs haben könnte?
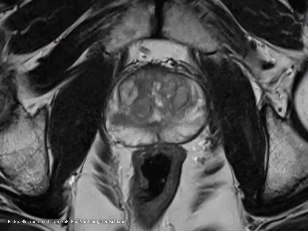
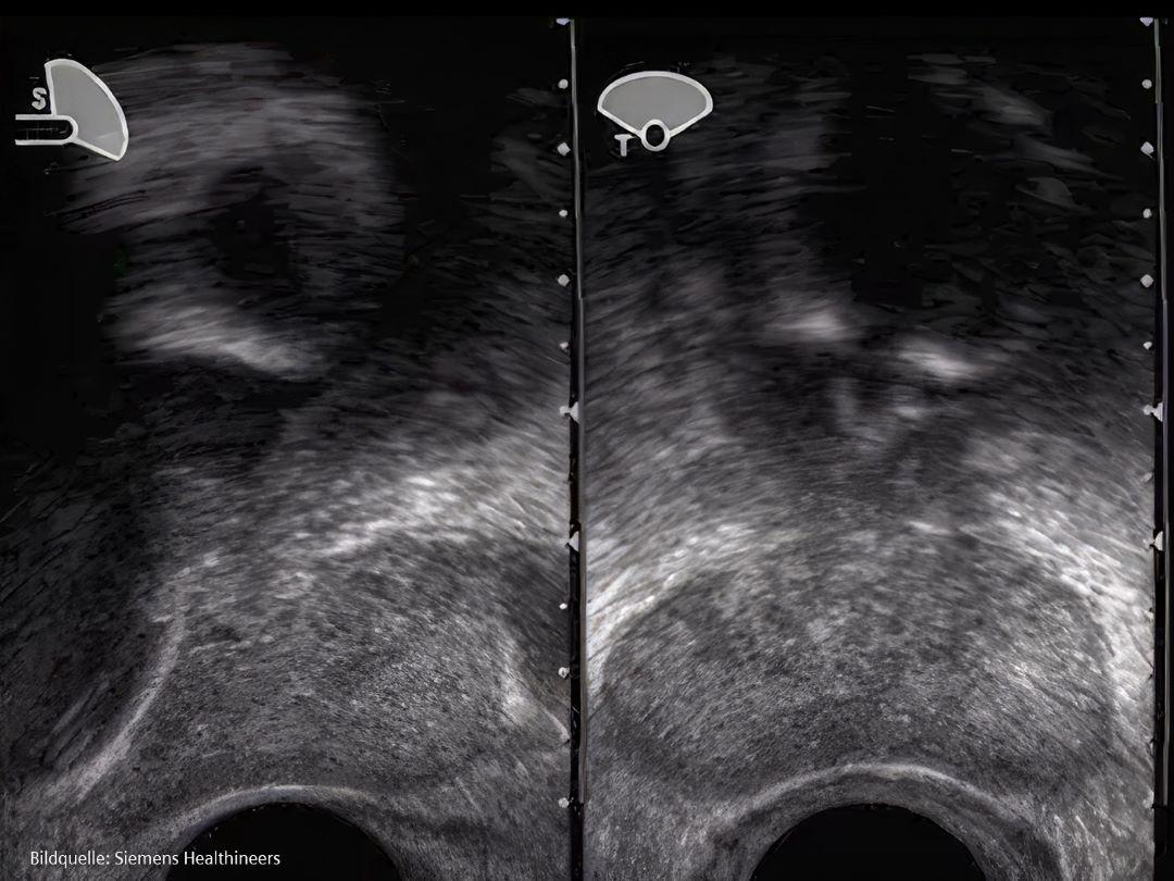
Für eine Diagnose wird der Patient nach den oben beschriebenen Symptomen und nach möglichen Risikofaktoren einschließlich seiner Familiengeschichte befragt. Im Falle eines Verdachts können Ärzt*innen einige Tests anordnen.
Behandlung
Frühzeitig erkannter Prostatakrebs ist sehr gut heilbar.


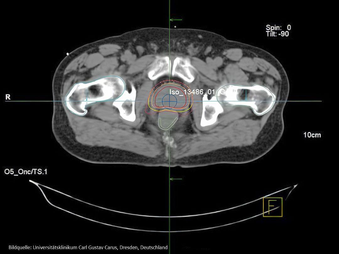
VARIAN EclipseTM IMRT (Intensity Modulated Radiotherapy) Plan für Prostatakrebspatienten.1
(Video in Englisch)


Am häufigsten wird bei Männern eine lokal begrenzte Erkrankung diagnostiziert, aber bei 10-20 Prozent wird eine metastasierende Erkrankung diagnostiziert. Von denjenigen, die mit einer lokal begrenzten Erkrankung zu kämpfen haben, entwickeln 20-30 Prozent Metastasen [25]. 70 Prozent der Männer, bei denen fortgeschrittener Prostatakrebs diagnostiziert wird, und 90 Prozent der Männer, die der Krankheit erliegen, haben Knochenmetastasen [25].
[3] https://doi.org/10.4103/tcmj.tcmj_20_17
[4] https://seer.cancer.gov/statfacts/html/prost.html
[5] https://doi.org/10.1016/S0140-6736(24)00651-2
[6] https://www.frontiersin.org/journals/public-health/articles/10.3389/fpubh.2022.811044/full
[7] https://www.cancer.org/cancer/types/prostate-cancer/causes-risks-prevention/risk-factors.html
[9] https://www.cancer.org/cancer/types/prostate-cancer/detection-diagnosis-staging/signs-symptoms.html
[10] Balk SP, Ko YJ, Bubley GJ. Biology of prostate-specific antigen. J Clin Oncol. 2003;21(2): 383–391.
[11] Lilja H, Ulmert D, Vickers AJ. Prostate-specific antigen and prostate cancer: prediction, detection and monitoring. Nat Revs Cancer. 2008;8(4):268–278.
[12] Catalona WJ, Partin AW, Slawin KM, et al. Use of the percentage of free prostate-specific antigen to enhance differentiation of prostate cancer from benign prostatic disease. JAMA. 1998; 279(19):1542–1547.
[13] https://www.cancer.org/cancer/types/prostate-cancer/detection-diagnosis-staging/how-diagnosed.html
[14] Kwon DH, Velazquez AI, de Kouchkovsky I. PSMA PET Scan. JAMA Oncol. 2022;8(12):1860. doi:10.1001/jamaoncol.2022.3531
[15] https://prostatecanceruk.org/prostate-information-and-support/prostate-tests/prostate-biopsy
[16] https://www.ncbi.nlm.nih.gov/pmc/articles/PMC6469728
[17] https://www.news-medical.net/health/Types-of-Prostate-Biopsy.aspx
[18] https://www.cancer.net/cancer-types/prostate-cancer/stages-and-grades
[19] https://www.cancer.org/cancer/types/prostate-cancer/detection-diagnosis-staging/staging.html
[20] https://www.cancer.org/cancer/managing-cancer/treatment-types.html
[21] https://www.cancer.gov/about-cancer/treatment/types
[22] https://academic.oup.com/jnci/article/110/4/341/4430583
[23] Yordanova A, et al. Theranostics in nuclear medicine practice. Onco Targets Ther. 2017;10:4821-4828. doi:10.2147/OTT.S140671.
[24] https://doi.org/10.1002/cncr.28238
[25] https://www.bmj.com/content/371/bmj.m3503
[26] https://www.ncbi.nlm.nih.gov/pmc/articles/PMC6278096/
[27] https://meetings.asco.org/abstracts-presentations/230097
[28] https://doi.org/10.1007/s11912-023-01399-0
[29] https://www.cancer.gov/about-cancer/causes-prevention/genetics/brca-fact-sheet
1 Die Verfügbarkeit der hier genannten Produkte und Lösungen variiert von Land zu Land und hängt von den lokalen gesetzlichen Anforderungen ab.





















